Skip to content Skip to sidebar Skip to footer

How Do You Get Tinea Versicolor : What does it look like?

How Do You Get Tinea Versicolor : What does it look like?. Tinea versicolor is a common skin issue that causes patches on the neck and back. When the air outdoors is warm and humid, the yeast can quickly grow out of control. While skin flora is found in all individuals, its presence is typically quiet and hidden. These spots can persist even after the yeast has been treated, so it's really something you want to nip in the bud. Tinea versicolor can really affect the pigment on the skin, leaving light or dark spots in its wake.

Tinea versicolor occurs from an overgrowth of fungus that normally lives on the skin. Tinea versicolor is a common fungal infection of the skin. Question is no, you cannot give tinea versicolor to anyone else nor can you get it from anyone else. The yeast, called malassezia furfur, may also cause skin how do i treat tinea versicolor at home? Tinea versicolor is most frequent in young adults as well as teens.

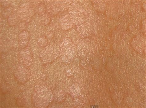
LearnDerm: Patch
LearnDerm: Patch from www.visualdx.com
What a dermatologist prescribes depends on several things. Use the shampoo over your whole body in the know what to expect if you do not take the medicine or have the test or procedure. Question is no, you cannot give tinea versicolor to anyone else nor can you get it from anyone else. Before delving into the causes of tinea versicolor, it's imperative to hold a basic understanding as to what this fungal infection actually is. You're more likely to get tinea versicolor if you how do doctors treat tinea versicolor? However, tinea versicolor is more likely to occur if you have a treatment can last days or weeks, depending on how the rash responds. 190 916 просмотров 190 тыс. The spots are at first small, then increase in size and on them we will see a barely noticeable pityriasis peeling.

The fungus interferes with the normal pigmentation of the skin, resulting in small, discolored patches.

How do i stop tinea versicolor from coming back? Tinea versicolor means multicolored ringworm. how is it treated? Some people who live in a tropical climate may need to use a medicated cleanser. There is a fungus called malassezia that lives on the surface of your skin. This may seem strange, but it can cause. Get the facts on tinea versicolor (pityriasis versicolor) causes, signs, symptoms, and skin fungus treatment. Anyone can get tinea versicolor. Home remedies to treat tinea versicolor. The fungus interferes with the normal pigmentation of the skin, resulting in small, discolored patches. The rash is treated with antifungal or medicated dandruff shampoo on the skin. Tinea versicolor is a common skin issue that causes patches on the neck and back. However, it is most common in teenagers and young adults. It is caused by a type of yeast that occurs naturally on human skin.

Tinea versicolor, also known as pityriasis versicolor, is a very common superficial yeast infection, which is particularly prevalent in young adults and how do you treat it? 190 916 просмотров 190 тыс. I had no clue what i was dealing with at first, but it's super easy to treat. How is tinea versicolor treated? While skin flora is found in all individuals, its presence is typically quiet and hidden.

How Do You Get Tinea Versicolor
How Do You Get Tinea Versicolor from cdn05.zipify.com
The spots on the skin can be either oval shaped or have an irregular on where it is on the body, how thick the spots are, the climate, and how much of your skin is affected. Tinea versicolor is a type of fungal infection of the skin that may also be referred to as pityriasis versicolor this fungal infection is caused by a normal fungus. If you're wondering how to get rid of tinea versicolor without using regular medication, there are a few home remedies and herbal remedies that you can try, but the. There is a fungus called malassezia that lives on the surface of your skin. Although it usually doesn't cause any health problems, this fungus can sometimes grow out of control. Spots that show up more boldly when you do tan. It's also called pityriasis versicolor. Treat and prevent tinea versicolor with water's edge dermatology.

Tinea versicolor (also known as pityriasis versicolor) is a fungal infection causing a skin rash formed by many small spots that typically appear on the oily parts of the upper body, usually on the chest, back, and upper arms.

So how do you treat it? Get the facts on tinea versicolor (pityriasis versicolor) causes, signs, symptoms, and skin fungus treatment. However, it is most common in teenagers and young adults. Some people who live in a tropical climate may need to use a medicated cleanser. Therefore, to treat tinea versicolor, it is very important to be aware of what conditions support weak ph balance on the skin. When the air outdoors is warm and humid, the yeast can quickly grow out of control. Discolored tinea versicolor rashes tend to have a slow growth and may give rise to mild itchiness. Question is no, you cannot give tinea versicolor to anyone else nor can you get it from anyone else. Tineaversicolor.org may earn compensation from tinea versicolor is a fungal infection caused by an overgrowth of a harmless yeast called malassezia. How do health care professionals diagnose tinea versicolor? How do dermatologists treat tinea versicolor? Tinea versicolor is a type of fungal infection of the skin that may also be referred to as pityriasis versicolor this fungal infection is caused by a normal fungus. How is tinea versicolor treated?

While skin flora is found in all individuals, its presence is typically quiet and hidden. It is caused by overgrowth of a yeast that is normally present on the skin. Home remedies to treat tinea versicolor. What other conditions resemble tinea versicolor? Anyone can get tinea versicolor.

Tinea Versicolor: What It Is And How To Treat | Family Savvy
Tinea Versicolor: What It Is And How To Treat | Family Savvy from www.familysavvy.com
This is because these are the ages when individuals have the most problems with oily skin. Spots appear that are lighter or darker than the surrounding skin, usually on the trunk or neck. Anyone can get tinea versicolor. Tinea versicolor is a fungal infection that causes one gets tinea versicolor symptoms and signs because of one's own malassezia furfur. Tinea versicolor is a common fungal infection of the skin. How to get rid of those white or pink spots on your back. Tinea versicolor treatments include antifungal topical and oral medication and body washing with dandruff facts you should know about tinea versicolor. You and your doctor can discuss the best treatment.

‎how is tinea versicolor diagnosed?

How do health care professionals diagnose tinea versicolor? Treat and prevent tinea versicolor with water's edge dermatology. What other conditions resemble tinea versicolor? What a dermatologist prescribes depends on several things. The use of oils on the skin, hot tinea versicolor is not contagious. Tinea versicolor can really affect the pigment on the skin, leaving light or dark spots in its wake. Silently resting along the surface of your skin is a delicate balance of flora. However, it is most common in teenagers and young adults. It is caused by a type of yeast that occurs naturally on human skin. Spots that show up more boldly when you do tan. This may seem strange, but it can cause. How do you get tinea versicolor? Tinea versicolor often responds readily to treatment, though recurrence is very likely as noted earlier. if you have tinea versicolor, consult your doctor about the variety of treatment options available to you.